잇몸성형

sssottt 2026-04-06 조회수 아이콘 40

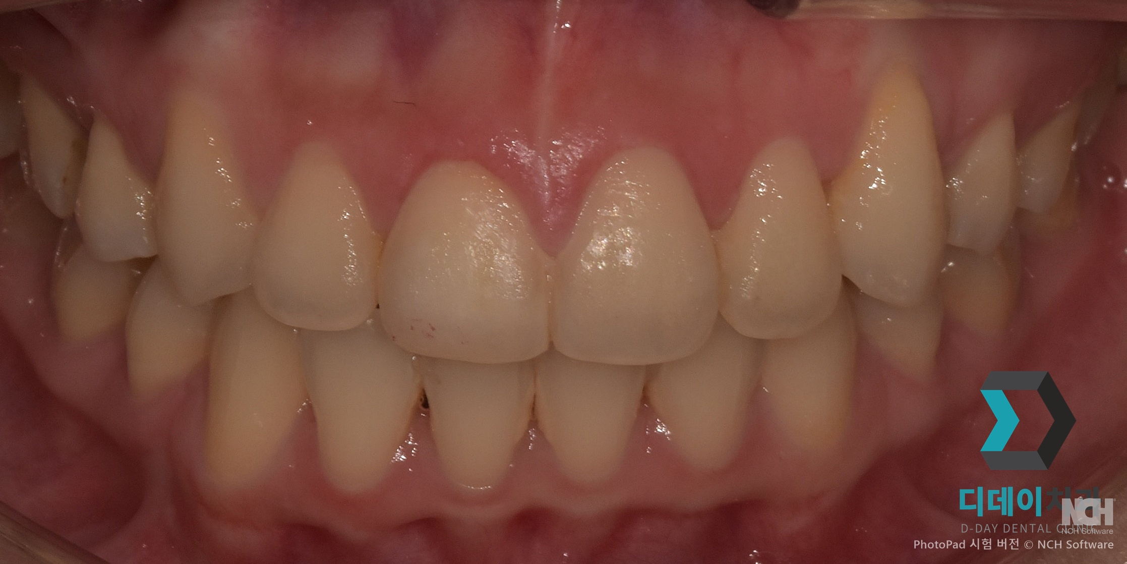
Before
After

과도하게 자라난 잇몸으로 인해 잇몸성형을 위해 내원하신 환자분입니다.




치과용 레이저를 이용하여 보다 자연스러운 잇몸 라인을 형성하였습니다.




치아 형태의 비율을 이상적으로 만들어 심미적인 스마일라인이 완성되었습니다.

등록된 댓글이 없습니다.
패스워드
패스워드
이전글 잇몸성형
다음글 라미네이트
목록