• 관리자모드
  • 온라인상담
  • 온라인상담 - 답변형
  • 메일상담
  • 전화상담
  • 비용메일
  • 치료후기 - 답변형
  • 치료후기 - 답변댓글형
  • 온라인예약
  • 예약확인
  • 공지/보도/동영상
  • 목록이미지 공지/보도/동영상
  • 치료사례(이미지목록형)
  • 치료사례(갤러리형)
  • 전후사진 갤러리
  • 갤러리게시판
  • 카드형게시판
  • FAQ
  • FAQ - 펼침형
  • 공통게시판
  • 회원가입
  • 회원약관
  • 로그인
  • ID/PW찾기
  • 회원정보변경
  • 개인정보취급방침
  • 회원탈퇴
  • 로그아웃
  • 팝업보기

디데이치과

  • 병원안내
    • 병원소개
    • 의료진소개
    • 둘러보기
    • 병원소식
    • 진료시간/위치
  • 심미치료
    • 라미네이트
    • 잇몸성형&잇몸미백
    • 치아성형&치아미백
    • 투명교정
  • 임플란트
    • 임플란트 바로알기
    • 네비게이션 임플란트
    • 보험임플란트
    • 뼈이식
  • 일반치료
    • 충치치료
    • 신경치료
    • 보철치료
    • 치주치료
  • 치료사례
    • 전후사진
  • 상담/예약
    • 온라인예약
로그인 회원가입
로그인 회원가입
  • 네이버
    블로그
  • 카카오
    상담
  • 위로가기
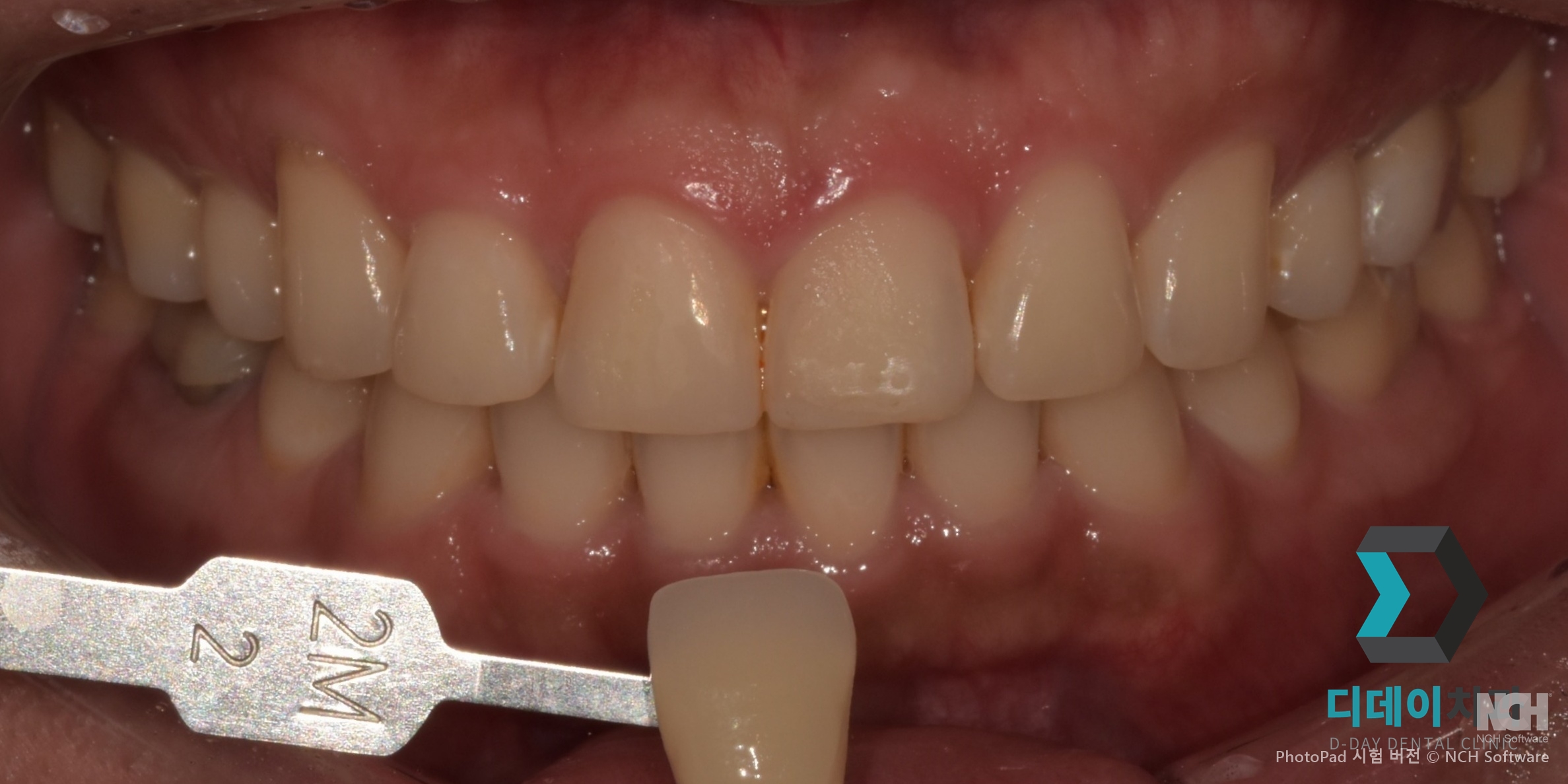
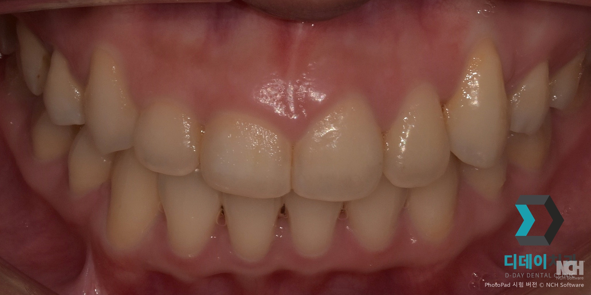
  • Before
    After

    임플란트 (발치 후 즉시식립) [0]
    오른쪽 위아래 임플란트와 왼쪽 위 충치때문에 내원하신 환자분입니다.왼쪽 위는 광범위한 충치....

    2026-03-09 조회수 아이콘15

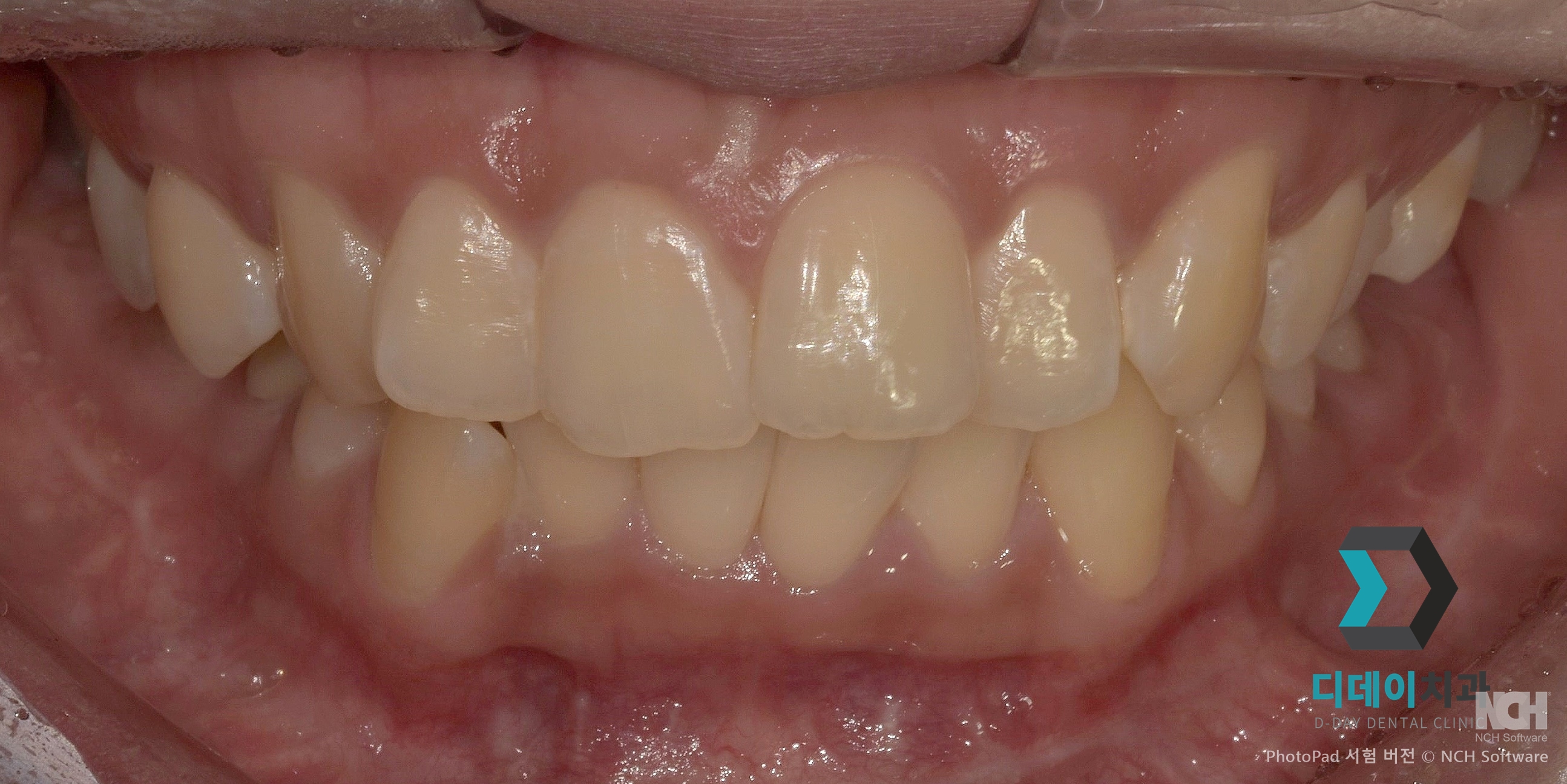
  • Before
    After

    라미네이트 + 잇몸성형 [0]
    발고 가지런한 앞니를 위해 내원하신 심미보철 환자분입니다.위 앞니 6개 치아 잇몸성형 후 ....

    2026-03-03 조회수 아이콘23

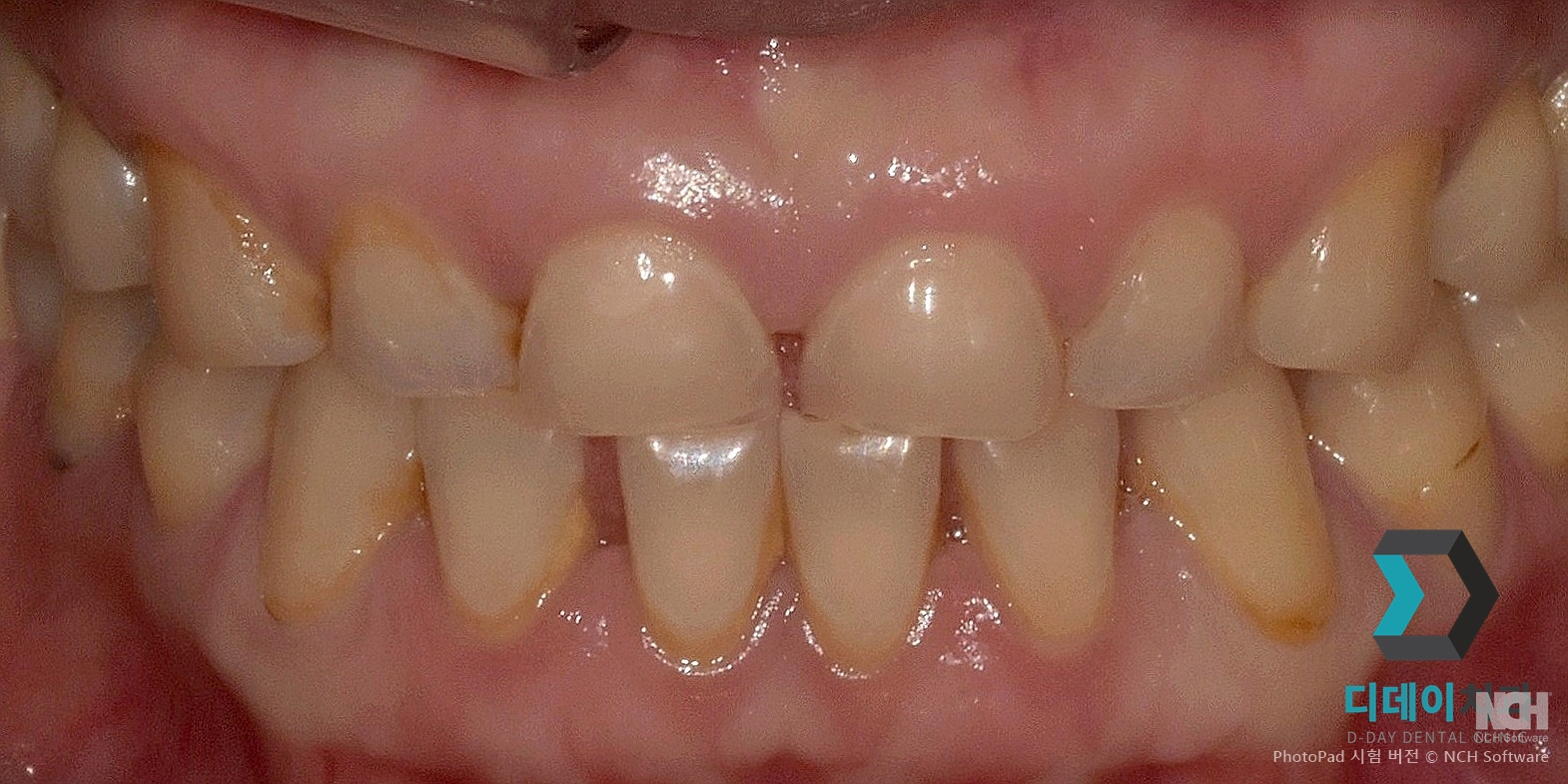
  • Before
    After

    잇몸 성형 [0]
    과도하게 자라난 잇몸으로 인해 잇몸성형을 위해 내원하신 환자분입니다.치과용 레이저를 이용하....

    2026-02-23 조회수 아이콘43

  • Before
    After

    잇몸 성형 [0]
    과도하게 자라난 잇몸으로 인해 잇몸성형을 위해 내원하신 환자분입니다.치과용 레이저를 이용하....

    2026-02-16 조회수 아이콘67

  • Before
    After

    잇몸 성형 [0]
    과도하게 자라난 잇몸으로 인해 잇몸성형을 위해 내원하신 환자분입니다.치과용 레이저를 이용하....

    2026-02-09 조회수 아이콘74

  • Before
    After

    잇몸 성형 [0]
    과도하게 자라난 잇몸으로 인해 잇몸성형을 위해 내원하신 환자분입니다.치과용 레이저를 이용하....

    2026-02-02 조회수 아이콘118

  • Before
    After

    라미네이트 [0]
    왜소치를 해결하기위해 내원하신 심미보철 환자분입니다.위 앞니 6개치아 라미네이트 치료를 진....

    2026-01-26 조회수 아이콘139

  • Before
    After

    라미네이트 + 올세라믹 크라운 [0]
    밝고 가지런한 앞니를 위해 내원하신 심미보철 환자분입니다. 위 아래 앞니 16개 치아 라미....

    2026-01-19 조회수 아이콘149

  • Before
    After

    앞니 크라운 교체 (지르코니아 크라운) [0]
    오래된 앞니 크라운 교체를 위해 내원하신 환자분입니다. 위앞니 4개 치아 지르코니아 크라운....

    2026-01-12 조회수 아이콘171

  • Before
    After

    라미네이트 [0]
    밝고 가지런한 앞니를 위해 내원하신 심미보철 환자분입니다. 위 아래 앞니 12개 치아 라미....

    2026-01-05 조회수 아이콘456

더보기+
12345678910
검색

디데이치과

  • 디데이치과
  • 서울특별시 강남구 테헤란로 337 화남빌딩 10F
  • 사업자등록번호 : 850-13-01554
  • 대표자명 : 오태훈
  • FAX : 02-568-2872
02.568.2877
  • 개인정보취급방침
  • 이용약관

2020 DAYLI BlockChain. All Rights Reserved