라미네이트 + 올세라믹 크라운
sssottt
2026-01-19
2
Before
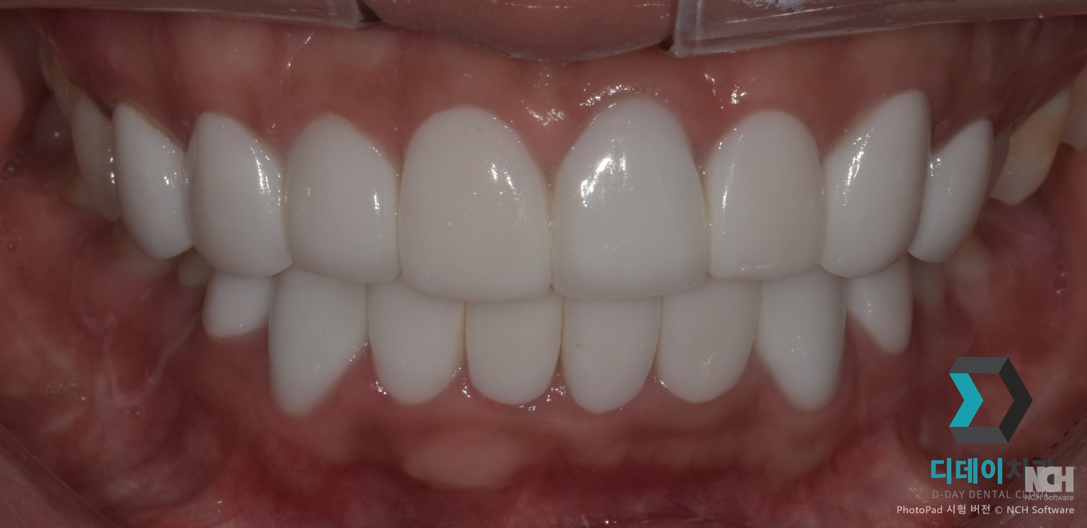
After
밝고 가지런한 앞니를 위해 내원하신 심미보철 환자분입니다.
위 아래 앞니 16개 치아 라미네이트와 올세라믹 크라운 진행하였습니다.
가지런한 앞니가 완성되었습니다.
이전글
![]() |
이전글이 없습니다. |
|---|---|
다음글
![]() |
앞니 크라운 교체 (지르코니아 크라운) |