라미네이트

sssottt 2025-12-08 조회수 아이콘 412

Before
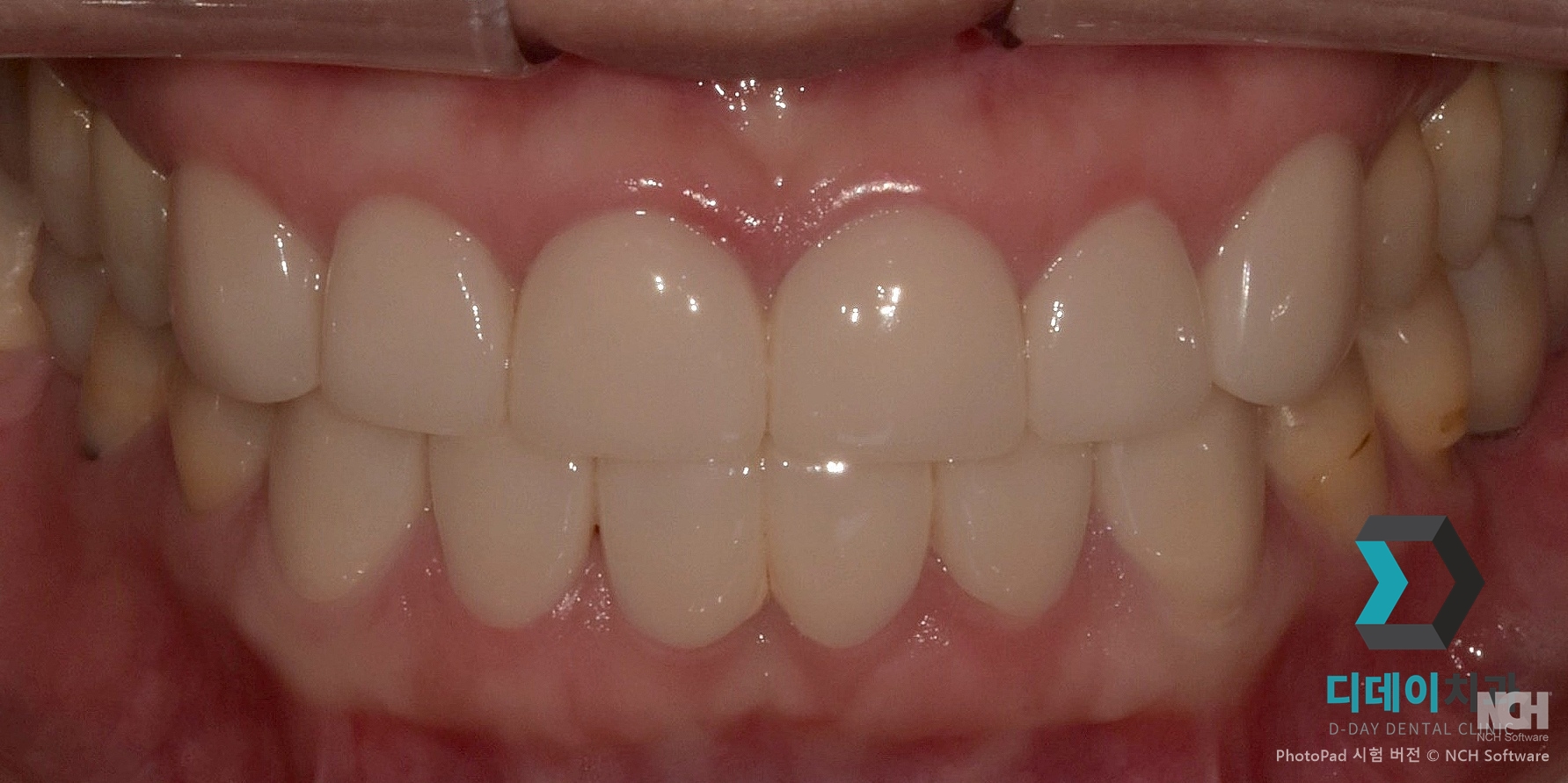
After

밝고 가지런한 앞니를 위해 내원하신 심미보철 환자분입니다.




 위 아래 앞니 12개 치아 라미네이트 진행하였습니다. 




가지런한 라미네이트가 완성되었습니다.

등록된 댓글이 없습니다.
패스워드
패스워드
이전글 잇몸 성형
다음글 잇몸 성형
목록